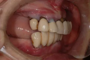
入れ歯治療初診時2

医療法人彩真会岡﨑歯科